Implants






Case 1: Smile make over canine-canine upper teeth
The patient came with failing teeth and missing teeth on front teeth. Patient had severe bone loss and gum recession. Placed 3 implants and restored the front missing teeth with implants and placed 2 new crowns on canine teeth. The pictures are taken on the day of crown delivery after the gums heal in 2 weeks the results will look much more natural.
Case 2
76 years old female with severe bone loss and very thin bone came in for implant placement. Use of CBCT enables accurate planning on the size of the implant and the procedure need to be done for bone grafting and surgery prior to implant placement. This was a very complex case as the patient has only 3.5-4 mm bone width in an area that at least 7-8 mm of bone width is needed. Split ridge bone technique was performed and the patient did not feel any pain during the implant procedure. Comfort of patient throughout the procedure is very important and we have a protocol to assure patient comfort based on the 100’s of cases performed by Dr. A.


Case 3
Full mouth extraction and implant placement in lower arch for patients with limited finances to have a snap on denture placed only on the lower arch. The total time for this procedure was only 3 hours. New upper and lower dentures were provided to the patient and patient left the office with a new set of teeth and implants.
Case 4
Extraction and sinus lift and implant placement on tooth #15. Total procedure time was 1.5 hrs. Tooth was extracted and cleaned off all infection. Due to lack of bone a sinus lift was performed and an implant was placed afterwards as it can be seen on the X-Ray.


Case 5
Patient came in with a broken upper left lateral tooth and would like an implant with a temporary crown before leaving home. Removed the broken tooth, placed an implant in the area and bone grafted the area and placed a temporary crown on the implant and patient went home with a brand new tooth.
Case 6
Severe bone loss and no gums on the outside of this upper front tooth and the patient experienced pain and would like extraction and did not want any bridge at this time. Extracted this tooth, placed implant and bone+ gum grafted, and finally placed a temporary crown over this implant. This is a very challenging case due to complete lack of gums and bone in the implant area


Case 7
Immediate Implant on front tooth. Failed root canal and broken crown. Placed implant and temporary crown same day and this is the result after only 1 week.
Case 8
Here at Georgetown Elite Dental we use the latest technology to make the implant full mouth surgery effortless. All teeth were extracted and 12 implants were placed while the patient was IV sedated. delivered the temporary bridge the same day and the patient left very satisfied going home with a beautiful smile. If you need any complete mouth rehabilitation please ask about our services and fees.


Case 9
This is before and after of extraction and implant and temporary crown on tooth #11 with a patient with high anxiety that was sedated through the surgery.
Veneers

Case 1
Veneers from canine to canine teeth. Patient was not happy with her smile so decided on a minimally invasive veneer procedure and with the most natural look to place veneers with an esthetic look on these teeth. Dr. A takes the time to make sure the patient agrees on the shape and size of the teeth prior to starting to work on these teeth. This will completely eliminate the element of surprise with predictable results for your perfect smile.
Case 2
Smile make over from second premolar to second premolar on upper teeth for minimally invasive veneer smile make over.


Case 3
Smile makeover for a patient that really wanted to close the gap between his front teeth and did not like the shape of his front teeth. Presented the case and presented a mock up of the final product prior to starting the case.
Case 4
Happy patient with veneers cemented on front teeth. We design and patients approve the designed features of veneers before fabricating and cementing them. Patient was very satisfied with them.

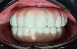
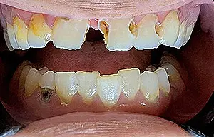
Crown/Bridges/Full Mouth

Case 1
Patient did not like the crowding and misalignment of the front teeth. Obtained an impression of existing teeth and the patient decided on the shape of the teeth based on the catalog presented and the wax up was presented to the patient prior to starting the fabrication of crowns and veneers.
Case 2
Patient does not like the stain on his teeth and the alignment of his teeth. Presented the treatment options and presented the wax up and patient chose to have the crowns.


Case 3
Full arch crowns and implants.
Case 4
This is an upper all on 6 PMMA bridge for a patient with limited finances to be able to afford a full upper bridge with esthetic in mind as well.

Extractions

Case 1
Before and after X-rays of an extractions of all wisdom teeth with lower wisdom teeth being horizontally impacted on a young male patient. Another happy patient after procedure that only felt pressure of extractions.



